

脳神経外科とは脳、脊髄、末梢神経系およびその付属器官(血管、骨、筋肉など)を含めた神経系全般の疾患のなかで主に外科的治療の対象となりうる疾患について診断、治療を行う医療の一分野です。脳神経外科的治療の対象になるか否かは、それぞれの時代により異なります。したがって、対象疾患として扱う病気は必ずしも固定されたものではありません。従来外科的治療がなされてきた疾患が医学の進歩のなかで手術を行わずに治療できるようになったものもありますが、かつて治療の対象にならなかった疾患や病態が手術によって治療できるようになったものもあり、総体としてみれば治療対象は確実に増えているといえます。
|
脳血管障害 |
脳梗塞、脳出血、くも膜下出血などで、脳卒中患者は 150万人、医療費は2兆円、20年後には300万人と予測されています。 |
|---|---|
|
脳腫瘍 |
良性脳腫瘍、悪性脳腫瘍など、あるいは脳由来のものと脳以外の組織由来というわけ方もできます。 |
|
脊椎 脊髄 |
変形性脊椎症、椎間板ヘルニア、脊髄腫瘍、脊椎・脊髄損傷などが対象です。 |
|
頭部外傷 |
頭蓋内出血、脳挫傷、頭蓋骨骨折などで、救急医療として行われます。 |
|
老化と痴呆 |
水頭症、脳血流低下などに対して高次脳機能を回復させ得る場合があります。 |
脳の血管が何らかの原因で狭窄(狭くなる)、閉塞(つまる)になるとその先にある脳細胞に血液が充分に行き渡らなくなります。脳細胞は血液に溶けている酸素と糖分で生きているのでこれが足りなくなると脳細胞は死んでしまいます。これが脳梗塞です。死んでしまった脳が手足の動きに重要な場所であれば手足の麻痺になりますし、言語に重要な場所であれば言語障害が出るのです。
脳血管がつまる原因には大きく分けて2つあります。
|
血栓症 |
動脈硬化によって徐々に血管の中が狭くなりついには閉塞するもの。症状は徐々に進行することが多く、時には一時的に麻痺や言語障害が出てその後改善する場合(一過性脳虚血発作といいます)もあります。 |
|---|---|
|
塞栓症 |
血液の固まりが血管の中を流れて脳血管に流れて閉塞させるもの。 |
では、どのような症状が出たら救急車を呼べばいいのでしょうか。
次に当てはまるようなことがあった場合です。
・手足の脱力(麻痺)箸を落とす、足がもつれるなど
・半身(手足)がしびれる
・言葉が出てこない、つじつまの合わないことをいう
・ものが二重にみえる
・口がもつれる(酔っぱらいのような話し方になる)
・めまいがしてふらつく
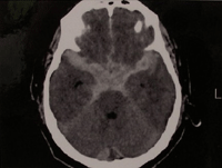
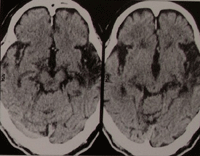
脳は外側から硬膜、くも膜、軟膜で覆われており、くも膜と軟膜のすき間はくも膜下腔と呼ばれています。このくも膜下腔に出血を起こした状態がくも膜下出血です。
原因としては脳動脈の一部がふくらんでできた動脈瘤 (どうみゃくりゅう)の破裂によるものが大部分です。男性より女性に多く、40歳以降に多くみられ、年齢とともに増加します。家系内に動脈瘤やくも膜下出血の方がいるときは発生頻度が高く、また高血圧、喫煙、過度の飲酒は動脈瘤破裂の可能性を数倍高くするという報告もあります。
・頭を殴られたような突然の激しい頭痛
・意識が朦朧(もうろう)とする、意識を失う
・嘔吐、血圧上昇
・麻痺はないことが多いが、手足が麻痺したり物が二重に見えることもある
発症前に、突然の頭痛を何回か経験する方もいらっしゃいます。これは動脈瘤からの微小出血によるといわれており、前ぶれ頭痛とも呼ばれます。出血量が少ないと軽い頭痛のみで上記のような典型的な症状がなく、“風邪”と思い込んで様子をみてしまう方も中にはいらっしゃいます。